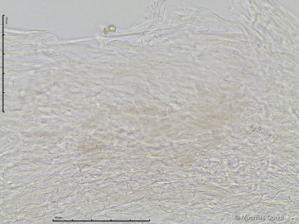
Entoloma spec.
HDS

Foto