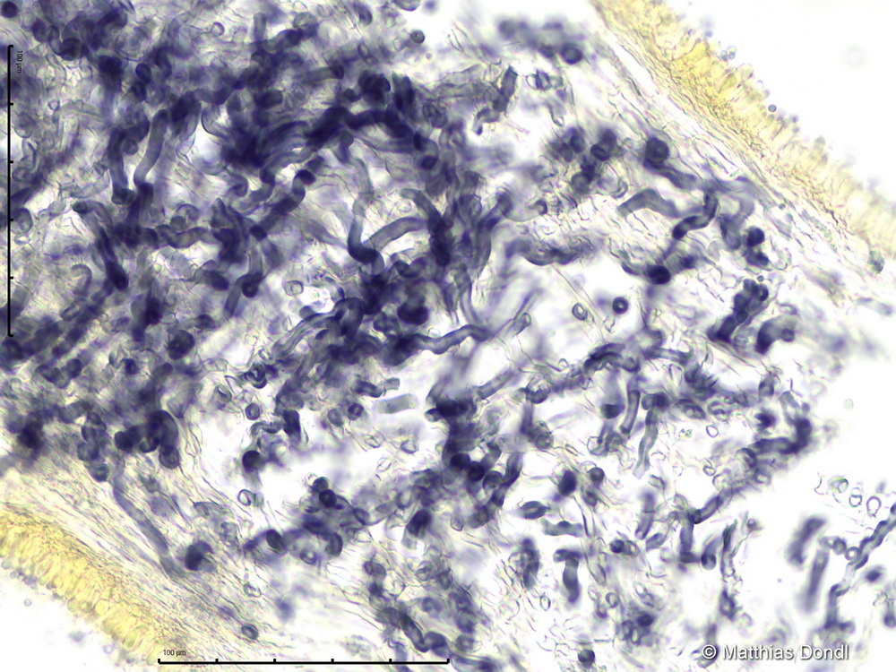
Lentinellus ursinus (Fr.) Kühner
Lamellentrama in Melzers (Querschnitt)

Foto