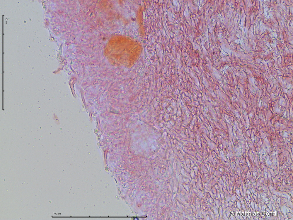
Mycenella salicina (Velen.) Singer
HDS

Foto